КТ головного мозга до и с внутривенным усилением (стандартное) происходит по направлению специалиста. Во время сканирования происходит исследование структур головного мозга, вокруг мозговых структур, костей черепа до контрастирования и после внутривенного введения йодсодержащего контрастного препарата.
Перед исследованием рентгенолаборант устанавливает пациенту внутривенный периферический катетер. Проводится стандартное исследование головного мозга без контрастирования, далее вводится контрастное вещество внутривенно с помощью инжектора и проводится постконтрастное сканирование.
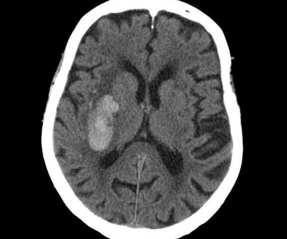
Показания для проведения данного вида КТ: заболевания головного мозга, мозговых оболочек, костей черепа, а также травматические поражения указанных структур. Первичные и вторичные объемные поражения головного мозга и вокруг мозговых структур.
Для проведения данного вида сканирования существуют противопоказания. Среди них - повышенная чувствительность к йодсодержащим препаратам, наличие в анамнезе аллергических реакций на введение йодсодержащих препаратов. Также в проведении процедуры может быть отказано, если состояние больного тяжелое. При наличии беременности, а также у детей КТ исследование проводится только после оценки направляющим врачом соотношения диагностической ценности исследования, которое будет проводиться, и потенциального вреда, что может быть получен в результате воздействия ионизирующего излучения. Окончательное решение о целесообразности проведения обследования и его объема принимает врач-рентгенолог.
За 4 часа до исследования пациент должен прекратить принимать пищу. При себе должен иметь результат исследования функции почек (показатели креатинина и мочевины крови), датированный не позднее 10 дней до проведения КТ.
При выраженном общем возбуждении пациента может рассматриваться вопрос о применении наркоза.
Выдача результатов исследования (пленка, описание, запись полного исследования на оптическом носителе информации) происходит через 2 часа. Если речь идет о сложном диагностическом случае или будет необходима дополнительная консультация, то результаты исследования выдаются в течение суток после проведения сканирования.








